Wir sind schwanger!!!
- Details
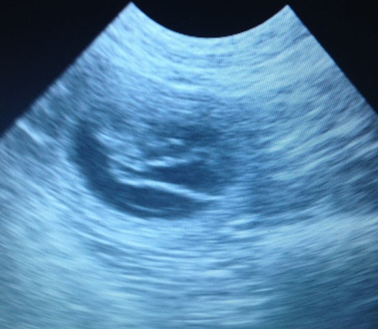
Der Ultraschall hat es heute bestätigt, Diddl bekommt Babys.
Wir sind voller Vorfreude auf die Zwerge.

Sehr müde!
- Details
Was soll uns das Temperament einer XXL Schlaftablette von Dilara wohl verraten???
Und dieser verträumte Blick?
Und dieses extreme Kuschelbedürfnis?
Dilaras Rendezvous!
- Details
Zurück aus dem schönen Altmühltal, Dilara wurde von Rufus gedeckt!
Es war Liebe auf dem ersten Blick, drum ging es nach einem kurzen Geplänckel auch gleich im Wohnzimmer zur Sache.
Nun hoffen wir sehr, dass unsere Diddl um den 26. Juli noch einmal Mama wird und wir süße Welpen begrüßen dürfen.
Wer Interesse an einem Welpen aus dieser Anpaarung hat, kann sich gern rechtzeitig mit uns in Verbindung setzen
und uns und unsere Hunde kennen lernen.
Danke Moni Batsch (Old Kauri Tree), dass wir diesen tollen Rüden für Dilara nutzen durften.
Die Eltern der Welpen:
Dilara von den sieben Tälern (klick) Old Kauri Tree Just My Boy/ Rufus (klick)
